部分矯正
部分矯正とは

部分矯正は、部分的に気になる歯並びに対して審美的な改善のみを行なう矯正治療法です。
部分矯正では今現在のかみ合わせを変えることはできませんので、今の咬合のまま審美的な改善のみをしていきます。ですから咬合を変えることを必要とする出っ歯や口ゴボを治したい場合は適応ではなく、軽度な叢生(歯のガタガタ)や、すきっ歯を治す治療であれば適応できる可能性があります。
また最初は部分矯正をご希望され矯正治療をスタートされた方も、見た目がキレイになると最初の治療目標よりももっと上を目指したくなり、全顎矯正を契約しておけばよかったと後悔される方もいらっしゃいます。全顎矯正ならもっとお口元の突出感も改善できたのにとかE-lineもととのえられたのにとか。このような場合には矯正専門のクリニックだからこそ全顎矯正への移行もスムーズに行えます。部分矯正を行って気になっていたところが改善した後に、咬み合わせやお口元などについても全体的に治していきたいということであれば差額分をお支払い頂くことで全体的な矯正治療に移行することも可能です。
一般的な歯科医院ですと部分矯正治療費も、全体的矯正治療費も両方かかるという事例ですが、当院では差額分のみ頂き治療しております。部分矯正か全体矯正か悩まれている方はまずは部分矯正から始められてはいかがでしょうか。
部分矯正の治療方法
部分矯正では今現在のかみ合わせを変えず、今の咬合のまま審美的な改善のみを行います。
出っ歯(軽度)、すきっ歯、歯のガタガタ(八重歯)、歯のねじれ等でお悩みの方は部分矯正で対応できる可能性があります。
部分矯正のメリット

全体的に矯正治療するよりは治療にかかる期間や費用を抑えられることが最大のメリットですが、デメリットは全ての歯を緊密に咬合させるわけではないので保定(リテーナー)をさぼると後戻りしてしまうことです。
ご自身の歯並びが部分矯正の適応かどうかは気になるところではあるかと思いますが初診相談の際に実際にお口のなかを拝見してご説明させていただきます。
その他、こんな方におすすめです!
- 前歯が気になる方
- 部分的に治したい方
- 費用をおさえたい方
- なるべく短期間で終えたい方
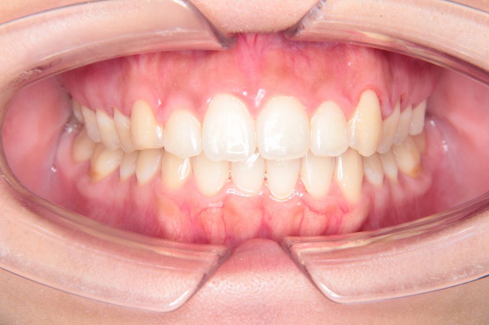
部分矯正の症例1
治療前

治療後

治療前

治療後

矯正治療の概要
| 主訴 | 部分矯正で前歯のみ治療したい |
|---|---|
| 症状 | 叢生 |
| 年齢 | 30代 |
| 治療に用いた主な装置 | 上表側ワイヤー矯正 |
| 治療方針(抜歯部位) | 上顎前歯のみの部分矯正 |
| 治療期間 | 6か月 |
| 治療費用 | ¥300,000 (税込¥330,000)→ホワイトブラケット表側治療 +毎回の処置料¥1,000~¥5,000(税込¥1,100~¥5,500) ※6回程度 |
| リスク・副作用 | 痛み・治療後の後戻り・歯根吸収・歯髄壊死・歯肉退縮 |
部分矯正の症例2
治療前

治療後

治療前

治療後

矯正治療の概要
| 主訴 | 部分矯正で前歯のねじれを治したい |
|---|---|
| 症状 | 叢生 |
| 年齢 | 20代 |
| 治療に用いた主な装置 | 上表側ワイヤー矯正 |
| 治療方針(抜歯部位) | 上顎前歯のみの部分矯正 |
| 治療期間 | 8か月 |
| 治療費用 | ¥300,000 (税込¥330,000)→ホワイトブラケット表側治療 +毎回の処置料¥1,000~¥5,000(税込¥1,100~¥5,500) ※8回程度 |
| リスク・副作用 | 痛み・治療後の後戻り・歯根吸収・歯髄壊死・歯肉退縮 |


