症状別の矯正歯科治療例(症例)

歯並びが悪い、かみ合わせが悪いと一言で言っても様々なタイプがあります。患者様の症状や口腔内の環境によって治療方法や治療期間は大きく異なります。
初診相談の際に詳しくご説明致しますが、初診相談の前にどのように治るのかある程度事前に知りたい方もいらっしゃるかと思います。
自分と似た症状の方が当院での治療を受けてどのように治ったかを知りたい方はこちらをご覧ください。
それぞれの患者様に様々な口腔内の状態、ご事情があり全ての患者様がこのように治りますという断言はできませんことをご了承いただいたうえで参考にされてください。
当院では患者様の記録のためとドクター間の情報共有、矯正治療の技術、治療方法を常にチェックする観点から必ず同じ規格で治療中ほぼ毎回お写真を撮影させて頂きます。
矯正治療を頑張ってくれている患者様に失礼がないようにドクターサイドとしても予測実現性の高い治療を提供し続けられるように日々研鑽しております。この症例写真をみた一人でも多くの方が矯正治療に希望を抱いて当院に来院されることを願います。
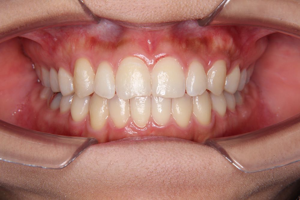
開咬(オープンバイト)
治療前

治療後

治療前

治療後

矯正治療の概要
| 主訴 | 前歯が噛まないのをワイヤー矯正ではなく、マウスピースで治療したい |
|---|---|
| 症状 | 口唇閉鎖不全を伴う開口(オープンバイト) |
| 年齢 | 20代 |
| 治療に用いた主な装置 | マウスピース型矯正装置 カリエール |
| 治療方針(抜歯部位) | 非抜歯 上顎遠心移動 歯列の拡大 IPR |
| 治療期間 | 1年7か月 |
| 治療費用 | ¥850,000 (税込¥950,000)→マウスピース型矯正装置 +毎回の処置料¥1,000~¥5,000(税込¥1,100~¥5,500) ※15回程度 |
| リスク・副作用 | 痛み・治療後の後戻り・歯根吸収・歯髄壊死・歯肉退縮 |
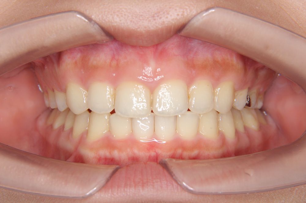
開咬治療例2
治療前

治療後

治療前

治療後

矯正治療の概要
| 主訴 | 前歯で噛めない・口元が出ている |
|---|---|
| 症状 | 開咬 オープンバイト |
| 年齢 | 20代 |
| 治療に用いた主な装置 | 上下表側ワイヤー矯正、歯科矯正用アンカースクリュー |
| 治療方針(抜歯部位) | 上下顎臼歯の圧下、口元突出の改善と叢生改善のため上顎第一小臼歯の抜歯 |
| 治療期間 | 2年6か月 |
| 治療費用 | ¥650,000 (税込¥715,000)→ホワイトブラケット表側治療 +毎回の処置料¥1,000~¥5,000(税込¥1,100~¥5,500) ※30回程度 |
| リスク・副作用 | 痛み・治療後の後戻り・歯根吸収・歯髄壊死・歯肉退縮 |
叢生
治療前

治療後

治療前

治療後

矯正治療の概要
| 主訴 | 抜歯せずに歯並びを整えたい |
|---|---|
| 症状 | 叢生 |
| 年齢 | 40代 |
| 治療に用いた主な装置 | 上下表側ワイヤー矯正 |
| 治療方針(抜歯部位) | 非抜歯 IPR |
| 治療期間 | 1年6か月 |
| 治療費用 | ¥650,000 (税込¥715,000)→ホワイトブラケット表側治療 +毎回の処置料¥1,000~¥5,000(税込¥1,100~¥5,500) ※18回程度 |
| リスク・副作用 | 痛み・治療後の後戻り・歯根吸収・歯髄壊死・歯肉退縮 |
叢生治療例2
治療前

治療後

治療前

治療後

矯正治療の概要
| 主訴 | 抜歯せずにガタガタを治したい |
|---|---|
| 症状 | 叢生 |
| 年齢 | 30代 |
| 治療に用いた主な装置 | マウスピース型矯正装置(アライナー装置) |
| 治療方針(抜歯部位) | 非抜歯 IPR |
| 治療期間 | 10か月 |
| 治療費用 | ¥650,000 (税込¥715,000) +毎回の処置料¥1,000~¥5,000(税込¥1,100~¥5,500) ※6回程度 |
| リスク・副作用 | 痛み・治療後の後戻り・歯根吸収・歯髄壊死・歯肉退縮 |
受け口
治療前

治療後

治療前

治療後

矯正治療の概要
| 主訴 | 受け口・かみ合わせをなおしたいが外科手術は絶対避けたい |
|---|---|
| 症状 | 反対咬合 |
| 年齢 | 20代 |
| 治療に用いた主な装置 | 上下表側ワイヤー矯正 |
| 治療方針(抜歯部位) | 外科手術はせずに下顎第一小臼歯抜歯にて治療 |
| 治療期間 | 2年3か月 |
| 治療費用 | ¥650,000 (税込¥715,000)→ホワイトブラケット表側治療 +毎回の処置料¥1,000~¥5,000(税込¥1,100~¥5,500) ※27回程度 |
| リスク・副作用 | 痛み・治療後の後戻り・歯根吸収・歯髄壊死・歯肉退縮 |
受け口治療例2
治療前

治療後

治療前

治療後

矯正治療の概要
| 主訴 | 受け口・かみ合わせを治療したい・上下の正中を合わせたい |
|---|---|
| 症状 | 反対咬合 |
| 年齢 | 20代 |
| 治療に用いた主な装置 | 上下表側ワイヤー矯正 |
| 治療方針(抜歯部位) | 外科手術はせずに非抜歯にて治療 |
| 治療期間 | 1年11か月 |
| 治療費用 | ¥650,000 (税込¥715,000)→ホワイトブラケット表側治療 +毎回の処置料¥1,000~¥5,000(税込¥1,100~¥5,500) ※23回程度 |
| リスク・副作用 | 痛み・治療後の後戻り・歯根吸収・歯髄壊死・歯肉退縮 |
出っ歯
治療前

治療後

治療前

治療後

矯正治療の概要
| 主訴 | 出っ歯を治したい |
|---|---|
| 症状 | 上顎前突 |
| 年齢 | 20代 |
| 治療に用いた主な装置 | 上下表側ワイヤー矯正 歯科矯正用アンカースクリュー |
| 治療方針(抜歯部位) | 上顎左右第一小臼歯の抜歯 |
| 治療期間 | 3年0か月 |
| 治療費用 | ¥650,000 (税込¥715,000)→ホワイトブラケット表側治療 +毎回の処置料¥1,000~¥5,000(税込¥1,100~¥5,500) ※36回程度 |
| リスク・副作用 | 痛み・治療後の後戻り・歯根吸収・歯髄壊死・歯肉退縮 |
出っ歯治療例2
治療前

治療後

治療前

治療後

矯正治療の概要
| 主訴 | 出っ歯を治療したい・口が閉じづらい |
|---|---|
| 症状 | 口唇閉鎖不全を伴う二級 上顎前歯唇側傾斜 |
| 年齢 | 20代 |
| 治療に用いた主な装置 | マウスピース型矯正装置 カリエール |
| 治療方針(抜歯部位) | 非抜歯 上顎遠心移動 歯列の拡大 IPR |
| 治療期間 | 1年7か月 |
| 治療費用 | ¥8500,000 (税込¥950,000)→マウスピース型矯正装置 +毎回の処置料¥1,000~¥5,000(税込¥1,100~¥5,500) ※15回程度 |
| リスク・副作用 | 痛み・治療後の後戻り・歯根吸収・歯髄壊死・歯肉退縮 |
ガミースマイル
治療前

治療後

治療前

治療後

矯正治療の概要
| 主訴 | 全体的な歯並びと歯肉の見え方(ガミースマイル)を治したい |
|---|---|
| 症状 | 一級過蓋咬合(ディープバイト) |
| 年齢 | 30代 |
| 治療に用いた主な装置 | 上下表側ワイヤー矯正、歯科矯正用アンカースクリュー |
| 治療方針(抜歯部位) | 上下顎前歯の圧下、上下顎左右第一小臼歯抜歯 |
| 治療期間 | 2年6か月 |
| 治療費用 | ¥650,000 (税込¥715,000)→ホワイトブラケット表側治療 +毎回の処置料¥1,000~¥5,000(税込¥1,100~¥5,500) ※30回程度 |
| リスク・副作用 | 痛み・治療後の後戻り・歯根吸収・歯髄壊死・歯肉退縮 |
ガミースマイル治療例2
治療前

治療後

治療前

治療後

矯正治療の概要
| 主訴 | 前歯のかみ合わせと笑った時に歯茎が見えるのが気になる |
|---|---|
| 症状 | 一級過蓋咬合 |
| 年齢 | 20代 |
| 治療に用いた主な装置 | マウスピース型矯正装置(アライナー装置)、歯科矯正用アンカースクリュー |
| 治療方針(抜歯部位) | 上顎前歯の圧下と臼歯の挺出 |
| 治療期間 | 2年6か月 |
| 治療費用 | ¥8500,000 (税込¥950,000)→マウスピース型矯正装置 +毎回の処置料¥1,000~¥5,000(税込¥1,100~¥5,500) ※15回程度 |
| リスク・副作用 | 痛み・治療後の後戻り・歯根吸収・歯髄壊死・歯肉退縮 |
口ゴボ
治療前

治療後

治療前

治療後

治療前

治療後

矯正治療の概要
| 主訴 | 口元の突出感を治したい・口ゴボを治したい |
|---|---|
| 症状 | 口唇閉鎖不全を伴う上下顎前突 |
| 年齢 | 30代 |
| 治療に用いた主な装置 | ハーフリンガル(上顎裏側ワイヤー、下顎表側ワイヤー矯正) 歯科矯正用アンカースクリュー |
| 治療方針(抜歯部位) | 口元突出の改善のため上下顎左右第一小臼歯抜歯 |
| 治療期間 | 2年9か月 |
| 治療費用 | ¥950,000 (税込¥1,045,000)→上顎裏側ワイヤー矯正、下顎表側ワイヤー矯正 +毎回の処置料¥1,000~¥5,000(税込¥1,100~¥5,500) ※33回程度 |
| リスク・副作用 | 痛み・治療後の後戻り・歯根吸収・歯髄壊死・歯肉退縮 |
口ゴボ治療例2
治療前

治療後

治療前

治療後

治療前

治療後

矯正治療の概要
| 主訴 | ガタガタと口ゴボを治したい |
|---|---|
| 症状 | 一級叢生、上下顎前突、正中線のずれ |
| 年齢 | 20代 |
| 治療に用いた主な装置 | フルリンガル(上下顎裏側ワイヤー矯正) 歯科矯正用アンカースクリュー |
| 治療方針(抜歯部位) | 口元突出の改善のため上下顎左右第一小臼歯抜歯 |
| 治療期間 | 2年9か月 |
| 治療費用 | ¥1,250,000 (税込¥1,375,000)→フルリンガル(上下顎裏側ワイヤー矯正) +毎回の処置料¥1,000~¥5,000(税込¥1,100~¥5,500) ※33回程度 |
| リスク・副作用 | 痛み・治療後の後戻り・歯根吸収・歯髄壊死・歯肉退縮 |
八重歯
治療前

治療後

治療前

治療後

矯正治療の概要
| 主訴 | 八重歯をなおしたい |
|---|---|
| 症状 | 叢生 |
| 年齢 | 30代 |
| 治療に用いた主な装置 | 上下表側ワイヤー矯正 |
| 治療方針(抜歯部位) | 叢生改善のため上下顎第一小臼歯の抜歯 |
| 治療期間 | 1年10か月 |
| 治療費用 | ¥650,000 (税込¥715,000)→ホワイトブラケット表側治療 +毎回の処置料¥1,000~¥5,000(税込¥1,100~¥5,500) ※22回程度 |
| リスク・副作用 | 痛み・治療後の後戻り・歯根吸収・歯髄壊死・歯肉退縮 |
八重歯治療例2
治療前

治療後

治療前

治療後

矯正治療の概要
| 主訴 | 抜歯せずに八重歯をきれいにしたい |
|---|---|
| 症状 | 叢生 |
| 年齢 | 40代 |
| 治療に用いた主な装置 | マウスピース型矯正装置(アライナー装置) |
| 治療方針(抜歯部位) | 非抜歯 IPR |
| 治療期間 | 1年6か月 |
| 治療費用 | ¥850,000 (税込¥950,000)→マウスピース型矯正装置 +毎回の処置料¥1,000~¥5,000(税込¥1,100~¥5,500) ※10回程度 |
| リスク・副作用 | 痛み・治療後の後戻り・歯根吸収・歯髄壊死・歯肉退縮 |

